赛默飞世尔科技品牌商

16

手机商铺

qrcode
商家活跃:
产品热度:
  • NaN
  • 0
  • 0
  • 2
  • 2
品牌商

赛默飞世尔科技

入驻年限:16

  • 联系人:

    赛默飞世尔科技(中国)有限公司

  • 所在地区:

    未知

  • 业务范围:

    细胞库 / 细胞培养、抗体、医疗器械、试剂、实验室仪器 / 设备、耗材

  • 经营模式:

    生产厂商

在线沟通

公司新闻/正文

干细胞培养实用干货:关键技巧与注意事项-赛默飞

111 人阅读发布时间:2025-09-11 16:40

 
 
 
 
 
 
 
 
 

你们仍推荐使用Gibco连蛋白作为Gibco Essential 8 Flex培养基的包被基质么? 

Gibco 连蛋白(VTN-N)-截短型重组人源蛋白(Gibco Vitronectin (VTN-N) Recombinant Human Protein, Truncated,货号 A14700)与Gibco Geltrex 无LDEV,经hESC验证的低生长因子基底膜基质(Gibco Geltrex LDEV-Free, hESC Qualified Reduced Growth Factor Basement Membrane Matrix,货号A1413301或A1413302)两者均适用于Gibco Essential 8 Flex培养基。   

 
 

在Gibco Essential 8 Flex培养基中培养细胞时,我是否需要在传代过程中加入ROCK抑制剂? 

Gibco Essential 8 Flex培养基与其他许多PSC培养基一样,在使用四乙酸溶液成集落传代PSC细胞时,无需加入ROCK抑制剂。如果进行单细胞传代,我们则推荐添加Gibco RevitaCell添加剂(货号 A2644501)或其他ROCK抑制剂。 

Gibco Essential 8 Flex培养基的推荐传代比例是多少 

传代比例需基于您所使用的细胞系来确定。Gibco Essential 8 Flex培养基通常能够良好兼容1:3至1:12的分种比例。 

使用Gibco Essential 8 Flex培养基进行换液和传代的时间应怎样安排? 

我们在每周两次传代细胞,铺板24小时左右进行换液的条件下观察到了最优结果。周一和周四进行传代,周二和周五(双倍培养基体积)换液结果最佳。 

若尝试从Gibco Essential 8原始培养基切换至Gibco Essential 8 Flex培养基,在配制完全培养基的方法上有什么不同? 

Gibco Essential 8 Flex培养基的配制方法与Gibco Essential 8 原始培养基完全相同。差别在于换液的时间安排,Gibco Essential 8 Flex培养基所需的换液间隔时间更为灵活,可维持连续两天无需换液。   

我可以在Gibco Essential 8基础培养基中加入Gibco Essential 8 Flex添加剂么? 

不可以,Gibco Essential 8 Flex培养基是一个完整的试剂盒,其中基础培养基与冻存添加剂需配套使用。Gibco Essential 8 Flex培养基的组份不应与Gibco Essential 8培养基的组份混合。 

我能在37°C水浴中化冻Gibco Essential 8 Flex添加剂么? 

不可以,GibcoTM Essential 8TM Flex添加剂不宜在37°C水浴中化冻。在室温条件下化冻1小时左右可获得最佳结果。您也可在2–8°C条件下过夜化冻GibcoTM Essential 8TM Flex添加剂,这样的操作可能会产生少量沉淀物。沉淀物的存在不会对培养基使用效果产生负面影响 

GibcoTM Essential 8TM Flex添加剂的化冻过程中,我观察到一些沉淀,我该怎么办 

GibcoTM Essential 8TM Flex添加剂中出现沉淀现象是比较少见的;不过,即使发现有沉淀,也不会影响培养基的使用效果。如果您在添加剂中观察到沉淀,请充分混匀后按常规操作将其加入GibcoTM Essential 8TM Flex基础培养基中。   

加入添加剂后的GibcoTM Essential 8TM Flex培养基保质期有多久 

为达到最佳效果,加入添加剂后的GibcoTM Essential 8TM Flex完全培养基建议两周内用完 

日常使用时,我能在37°C水浴中温育GibcoTM Essential 8TM Flex培养基么 

不可以,请勿在37°C条件下温育GibcoTM Essential 8TM Flex培养基。将其缓慢平衡至室温效果最佳。 

我能否在GibcoTM Essential 8TM Flex培养基中使用ROCK抑制剂 

可以,GibcoTM Essential 8TM Flex培养基中可添加ROCK抑制剂。我们推荐您使用GibcoTM RevitaCellTM添加剂(货号 A2644501),该产品减少应激对PSC的影响而设计。 

我能否使用GibcoTM Essential 8TM Flex培养基进行单细胞传代 

可以,GibcoTM Essential 8TM Flex培养基能够兼容单细胞传代操作。当您进行单细胞传代时请确保使用了GibcoTM RevitaCellTM添加剂(货号 A2644501)或一些其他种类的ROCK抑制剂。 

在使用GibcoTM Essential 8TM Flex培养基的条件下,我能否频繁调整换液时间表 

请选择并保持规律的传代和换液操作时间以得到最优的结果。举例来说,如果您希望周末不换液,您可在周一/周四分种细胞,周二/周五进行换液。 

我能否对培养在GibcoTM Essential 8TM Flex培养基中的细胞进行冻存 

可以,在GibcoTM Essential 8TM Flex培养基中常规培养的细胞可进行冻存和复苏,相关操作与使用GibcoTM Essential 8TM培养基一致。 

我目前正在使用GibcoTM Essential 8TM培养基,我能方便地切换至GibcoTM Essential 8TM Flex培养基么?我能仅在周末离开时使用这款培养基么 

持续使用同款培养基培养您的PSC细胞将获得最佳结果。从GibcoTM Essential 8TM培养基切换至GibcoTM Essential 8TM Flex培养基是一个十分简单的操作过程,您只需在一周开始时将细胞接种到GibcoTM Essential 8TM Flex培养基中即可,在进入两天不换液的间隔期之前,最好对细胞进行一次传代操作 

我正在使用一款现有的无饲养层培养基,不过希望能免去周末的换液操作。我能仅在周末换用GibcoTM Essential 8TM Flex培养基么 

由于持续使用单一的PSC培养基能够帮助获得最佳的培养效果,我们不推荐频繁地将细胞从一种培养基直接切换至另一种。持续使用GibcoTM Essential 8TM Flex培养基能够获得最佳结果 

GibcoTM Essential 8TM Flex培养基与缓释FGF2添加剂之间的区别是什么? 

StemBeadsTM FGF2添加剂一类的缓释产品能够向生长培养基中释放FGF2,从而补充随时间而逐渐丢失的FGF2活性,而GibcoTM Essential 8TM Flex培养基则能够避免FGF2的活性丧失。 

StemBeadsTM FGF2添加剂的工作流程与GibcoTM Essential 8TM Flex培养基的相比有何异同 

不同于StemBeadsTM FGF2添加剂,GibcoTM Essential 8TM Flex培养基无需任何额外添加或优化操作,即可有效限制FGF2的活性丧失。 

我的细胞适应了GibcoTM Essential 8TM Flex培养基之后,稳定的换液时间表和连续的无饲养层培养会对这些细胞有何长期影响? 

我们在省略每天换液的条件下,使用GibcoTM Essential 8TM Flex培养基培养多种细胞系多达50代,未发现明显影响。多能性标志物的表达(Tra-1-60,SSEA4,Sox2,Oct-4与Nanog),分化潜能与正常核型在GibcoTM Essential 8TM Flex培养基长期培养的条件下均得到保持 

使用GibcoTM Essential 8TM Flex培养基时,我的细胞在两天不换液间隔期中是否会累积废物而产生不良效应 

和任何PSC培养一样,使用GibcoTM Essential 8TM Flex培养基可能会出现一些细胞碎片和pH值的下降情况。不过,我们未发现这些累积的废物对细胞生长或多能性方面造成长期的不良影响。 

GibcoTM Essential 8TM Flex培养基中常规培养细胞是否会对我的细胞的核型造成影响 

我们发现长期培养长达50代的多株PSC细胞系具有正常的核型。 

 

你们是否在GibcoTM Essential 8TM Flex培养基培养的PSC中观察到多能标志物表达的某些改变 

我们在GibcoTM Essential 8TM Flex培养基培养多株PSC细胞系超过50代,未观察到多能标志物表达方面的显著改变。 

你们确认过GibcoTM Essential 8TM Flex培养基培养PSC的三系分化潜能么 

对于GibcoTM Essential 8TM Flex培养基中长期培养的细胞,其分化为外胚层,内胚层,中胚层谱系的潜力不受影响。这一结论是由拟胚体的自发分化实验和神经干细胞,心肌细胞和定形内胚层的定向分化实验确认过的。 

 

我能在基因编辑的工作流程中使用GibcoTM Essential 8TM Flex培养基么 

我们目前尚未就基因编辑操作开展GibcoTM Essential 8TM Flex培养基的测试 

何为GibcoTM Essential 8TM培养基? 

GibcoTM Essential 8TM培养基是一种不含异源成份,无需饲养层的培养基产品,专为人源多能干细胞(PSC)的生长和增殖而配制。GibcoTM Essential 8TM培养基最初由James Thomson实验室的Chen等(Chen G, Gulbranson DR, Hou Z et al (2010) Chemically defined conditions for human iPSC derivation and culture.Nat Methods 8:424–429)开发,并通过Cellular Dynamics International验证;到目前为止已久经测试,可维持多类PSC细胞系的多能性 

 
 

GibcoTM连蛋白(VTN-N)作为细胞生长基质使用GibcoTM Essential 8TM培养基的条件相比使用其他无饲养层系统而言,有哪些主要的区别需加以考虑? 

GibcoTM连蛋白(VTN-N)作为细胞生长基质使用GibcoTM Essential 8TM培养基的条件相比使用其他无饲养层系统而言,有三个主要差别需要加以考量 

通常细胞的传代时间比其他无饲养层培养基提前24小时左右。 

细胞在达到85%左右的汇合度时即需要传代。如果细胞传代时超过了85%的汇合度,细胞健康度及最终的细胞得率都会下降。 

细胞应使用EDTA进行传代。不推荐使用胶原酶或分散酶。   

 
 

GibcoTM Essential 8TM培养基与GibcoTM连蛋白(VTN-N)能支持长期培养多能干细胞(PSC)么? 

GibcoTM Essential 8TM培养基与连蛋白经证明能够支持PSC的生长达50代以上而不会发生任何核型异常,同时这些PSC仍保持着分化为三胚层的能力。James Thomson实验室Chen等报道(Chen G, Gulbranson DR, Hou Z et al (2010) Chemically defined conditions for human iPSC derivation and culture.Nat Methods 8:424–429.)连蛋白的VTN-N变异体与GibcoTM Essential 8TM培养基联用时相比野生型连蛋白能更好地支持人多能干细胞的贴壁和存活。。 

不同批次的GibcoTM Essential 8TM培养基之间会存在差异么? 

相比现有其他种类的无饲养层培养基,GibcoTM Essential 8TM培养基的变异度更小。不同于其他含有超过20种高度变异性成份的培养基,GibcoTM Essential 8TM培养基在cGMP标准下生产,拥有最优化的配方和生长因子水平,能够以最小的变异度帮助用户获得最大的细胞健康度,多能性和生长效果。 

 

之前冻存于其他培养条件的多能干细胞(PSC)能复苏和后续培养于GibcoTM Essential 8TM培养基和GibcoTM连蛋白(VTN-N)的组合体系中么? 

可以。在mTeSRTM培养基和BD MatrigelTM基底膜基质条件下培养并冻存的PSC细胞可用GibcoTM Essential 8TM培养基复苏,再种到VTN-N基质包被的板上。某些细胞系使用冻存前的原生长培养基及基质进行复苏可能效果会更好。在随后的传代过程中,使用EDTA将这些细胞传代至GibcoTM Essential 8TM培养基和VTN-N的培养体系中。 

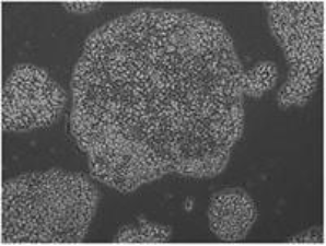
GibcoTM Essential 8TM培养基 GibcoTM连蛋白(VTN-N)的体系中培养的细胞外观如何? 

您预期可看到正常的多能干细胞(PSC)形态。PSC的预期生长形态是如图所示的典型形态为,包括边界清晰的紧密聚集克隆和高核质比。请参见下方第六次传代时的PSC图片。 

干细胞培养实用干货:关键技巧与注意事项-赛默飞 

我应如何配制GibcoTM Essential 8TM培养基? 

如需配置500 mL 完全GibcoTM Essential 8TM培养基,请将GibcoTM Essential 8TM添加剂(50X)室温化冻1小时,之后于无菌条件下将下列成份混合在一起: 

图形用户界面, 应用程序

AI 生成的内容可能不正确。 

我能使用其他版本的DMEM/F-12替代试剂盒中所提供的GibcoTM Essential 8TM基础培养基么? 

在配制GibcoTM Essential 8TM培养基时,不能使用其他货号的DMEM/F-12替代GibcoTM Essential 8TM基础培养基。试剂盒中提供的GibcoTM Essential 8TM基础培养基含有更高浓度的碳酸氢钠。 

我能在37°C水浴中解冻GibcoTM Essential 8TM添加剂(50X)么? 

最好在室温化冻1小时来化冻此款添加剂。 

GibcoTM Essential 8TM完全培养基的保质期有多久? 

GibcoTM Essential 8TM完全培养基的保质期为2–8°C条件下放置两周。 

日常使用时,我能在37°C水浴中温育GibcoTM Essential 8TM培养基么? 

非常重要的是,GibcoTM Essential 8TM完全培养基需放置在室温下进行平衡,请勿在37°C水浴中平衡。bFGF活性会在从4°C至37°C的温度反复改变中迅速降低。 

 

Rho相关蛋白激酶(ROCK)抑制剂或blebbistatin的作用是什么? 

加入ROCK抑制剂(HA100或Y27632)或Blebbistatin能够在初始期促进细胞存活,并支持高的克隆形成效率,加入转铁蛋白和硒元素也能够提高克隆形成效率。如果常规培养细胞的培养基中包含了这一类ROCK抑制剂,那么可能就有必要在日常培养中持续加入抑制剂。 

 

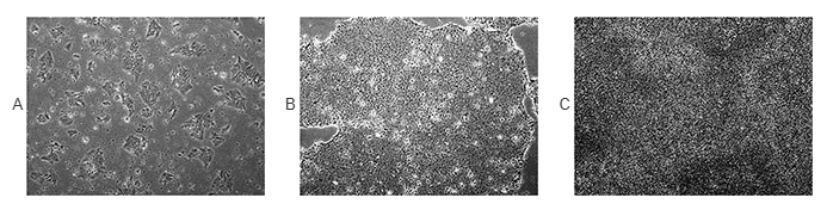
采用EDTA作为解离试剂时,理想的孵育时间是多久? 

EDTA的理想孵育时间为37°C条件下4-5分钟。当细胞开始分离变圆,显微镜下即可观察到克隆中开始出现空洞,这时它们已经很容易从器皿上解离下来了(图A,下方)。我们不推荐您让细胞克隆过度分散,如下方图B所示 

男子的脸部特写黑白照

AI 生成的内容可能不正确。 

图A 

图片包含 照片, 游戏机, 田地, 一群

AI 生成的内容可能不正确。 

图B 

我能否在室温条件下使用EDTA孵育细胞? 

可以,EDTA可在室温下使用,不过孵育时间可能会略微延长,时间约为5-8分钟。 

推荐的传代比例是多少? 

由于EDTA具有不同于分散酶和胶原酶的解离属性,解离下来的克隆尺寸(使用EDTA)会明显小一些,因此应对传代比例进行调整以获得最佳的培养条件。细胞达到85%左右汇合度的时候即可传代,通常为第四天。有时细胞在第三天即应传代。使用EDTA进行传代的典型比例是1:6,1:8或1:10。用户应对传代比例进行调整,从而确保细胞不要过早或过晚进行传代。 

墙边的地毯上

AI 生成的内容可能不正确。 

 
 
 
 
 
 
 
 
 
 
 
 
 

上一篇

慢病毒载体生产应用及慢病毒转染原理详解-赛默飞

下一篇

iPSC多能干细胞研究的基本流程和产品指南-赛默飞

更多资讯

我的询价