公司新闻/正文
461 人阅读发布时间:2025-06-09 14:03
赛默飞提供多种蛋白免疫印迹(Western Blot)实验产品,请访问官网获取产品信息。
本页目录
Western Blot介绍
电泳分离蛋白质
将蛋白转印到膜
封闭非特异性位点
漂洗缓冲液配方
一抗和二抗
检测方法
一、蛋白免疫印迹(Western Blot)原理介绍

蛋白免疫印迹实验的第一步是使用凝胶对样品中的大分子进行电泳分离。随后,将分离的分子转移或转印到另一基质上,通常是硝酸纤维素(NC)膜或聚偏二氟(PVDF)膜。接下来,封闭该膜,防止抗体与膜表面发生非特异性结合。然后通常会使用一组抗体——一种对目标蛋白质有特异性的抗体(一抗)和另一种对一抗宿主具有特异性的抗体(二抗)——对转印的蛋白质进行检测。
当酶标二抗与适当的底物结合后,会产生可检测的信号。显色底物会在膜上产生沉淀物,导致肉眼可见的比色变化。最灵敏的检测方法是使用化学发光底物,产生的光信号就是该底物与酶标抗体发生反应的副产物。在膜上可以捕获到光信号。但是,基于电荷耦合器件(CCD)镜头的数字成像仪器已逐渐替代暗室曝光,成为越来越普及的捕获化学发光信号的手段。或者,也可使用荧光标记抗体,这需要使用能够捕获荧光信号的成像仪进行检测。荧光印迹是一种更新的技术,且越来越受欢迎,因为这种方法可进行多重检测(在单个印迹上检测多种蛋白质)。无论使用什么系统,信号强度都应与膜上抗原的丰度相关。
二、蛋白免疫印迹(Western Blot)实验检测方法
1、蛋白免疫印迹实验直接检测方法
优点
仅需要一种抗体
避免了二抗交叉反应的问题
缺点
标记物可能干扰靶标结合
如果抗体对靶标的特异性较弱,可能出现高背景
直标一抗可能成本高昂
直标一抗的选择范围可能有限
2、蛋白免疫印迹实验间接检测方法
优点
可通过二抗进行信号放大
偶联二抗选择范围更宽
一种二抗可与若干不同的一抗搭配使用
使用二抗不会干扰一抗与靶标结合
使用标记二抗有多种检测方法的选择
缺点
非特异性染色可能增加背景
使用间接检测方法的步骤更多
三、蛋白免疫印迹(Western Blot)实验步骤
电泳分离蛋白质
凝胶电泳是使带电分子(比如蛋白质或 DNA)在电流作用下穿过凝胶时根据其物理属性进行分离的一种技术。蛋白质通常使用聚丙烯酰胺凝胶电泳(PAGE)进行分离,以区分混合样品中的单一蛋白质或检查一个样品内的多种蛋白质。与蛋白免疫印迹结合后,PAGE 变成强大的分析工具,为我们提供关于蛋白分子量、电荷、纯度或存在状态的信息。PAGE 存在多种方法,可针对目标蛋白提供不同类型的信息。例如,非变性 PAGE(天然 PAGE)是根据质荷比来分离蛋白质。与此相反,十二烷基硫酸钠聚丙烯酰胺凝胶电泳(SDS-PAGE)是根据质量来分离蛋白质,因为与离子型 SDS 去垢剂结合的蛋白质带负电荷。
蛋白凝胶电泳有多种缓冲系统或凝胶体系可选。当分离不同分子量的蛋白质时,每种系统都具有独特优势。 
在Novex Tris-甘氨酸蛋白凝胶上分离蛋白质,并用Simple Blue Safe 染料进行染色。
将蛋白质转印到膜
电泳之后,需要将蛋白质从凝胶转印到膜上。已经有多种方法用于该步骤,包括但不限于扩散转印、毛细管转印、真空印迹转印和电转印。最常用的蛋白质转印方法是电转印或电洗脱,因其速度快且转印效率高。该方法利用蛋白质的电泳迁移率将其从凝胶转印到膜上。蛋白电转需要将包含蛋白质的聚丙烯酰胺凝胶与硝酸纤维素膜或其他合适的蛋白质结合载体直接接触,并将其"夹在"浸入导电溶液的两个电极之间。该过程需要使用多孔垫和滤纸来促进转印。应用电场时,蛋白质脱离聚丙烯酰胺凝胶,移动到膜表面,并在这里紧密结合。这样膜上就复制了原先位于聚丙烯酰胺凝胶中的蛋白质迁移情形。 
蛋白质印迹转印装置。
示意图显示了典型蛋白质印迹装置的组件、凝胶和膜的位置及蛋白质相对于电极位置的方向。尽管这里描述的图像是代表性的垂直"湿式"转印装置,但是其方向也适用于水平放置的半干式转印装置。
基于蛋白质从凝胶迁移的能力,及其在一组特定条件下与膜结合的倾向,蛋白质间的转印效率相差悬殊。转印效率取决于多种因素,比如凝胶组分、凝胶是否与膜完全接触、电极位置、转印时间、蛋白质大小和组分、场强以及缓冲液中是否存在去垢剂和乙醇。
转印后和进行蛋白质印迹孵育前,可用蛋白质染料评估膜上的总蛋白,以评估转印效率。也可将凝胶染色以确认蛋白质是否已移出凝胶,但这无法确保蛋白质与膜的有效结合。因为染料可能会干扰抗体的结合和检测,所以使用易于去除的蛋白质染料最为合适。丽春红 S 染料是对膜上蛋白可逆染色时使用最为广泛的试剂,但因灵敏度有限,拍照效果不佳且褪色快,导致难以成像。我们提供优质的产品,可替代该染料在硝酸纤维素膜或 PVDF 膜上进行蛋白质染色,检测低纳克水平的蛋白质,易于拍照,且在去除前不会褪色。 
使用丽春红 S 染料进行可逆蛋白质染色的比较。将预染分子量标准上样于每块凝胶(泳道 1),梯度稀释未预染蛋白质分子量标准,并上样于每块 4-20% Tris-甘氨酸-SDS 聚丙烯酰胺凝胶(泳道 2–10)。通过电转将蛋白质转印到 PVDF 膜上。根据实验方案(A 组)应用 Thermo Scientific Pierce 可逆染料染色 1 分钟。根据实验方案(B 组)将 0.1% 丽春红 S 溶于 5% 乙酸,对印迹染色 5 分钟。
电转系统
电转方法有多种。最常用的是湿式转印、半干式转印和干式转印,每种方法均需特别考虑时间、成本以及所需试剂和仪器。湿式转印(也称为槽式转印)的转印效率高,并可灵活选择缓冲系统和方法,但费时费力。半干式转印可灵活使用多种缓冲系统,方便省时。但是这种方法转印大分子量(> 300 kDa)蛋白质的效率较低。干式转印不但转印效率高,而且快速方便,因为无需缓冲液,但可选耗材种类有限。
封闭非特异性位点
蛋白免疫印迹中使用的印迹膜对蛋白质具有高亲和力。因此,从凝胶转印蛋白质之后,请务必封闭剩余膜表面,以防在后续步骤中与检测抗体发生非特异性结合。从牛奶或正常血清,到高度纯化蛋白等的多种封闭缓冲液可用于封闭膜上的自由位点。封闭缓冲液应通过减少背景干扰并提高信噪比来提升检测灵敏度。没有哪一种封闭缓冲液适合每种实验体系,因为每个抗体-抗原对都有独特的结合特性。封闭缓冲液的实证检测对于优化蛋白免疫印迹实验必不可少。通常,研究人员是在实验室配制封闭缓冲液;但商品化封闭缓冲液会更为便捷。 
SuperBlock 封闭缓冲液与牛奶的比较。通过 SDS-PAGE 分离两倍梯度稀释的 HeLa 细胞裂解液(20、10、5、2.5、1.25、0.625 和 0.3125 µg),并将其转印到硝酸纤维素膜(A–C 组)或 PVDF 膜(D–E 组)上。使用含 5% 脱脂牛奶和 0.05% 的 Thermo Scientific 吐温 20 去垢剂的 Tris 缓冲盐溶液,或者使用含 0.05% 吐温 20 去垢剂的磷酸盐缓冲体系的 Thermo Scientific SuperBlock 封闭缓冲液,将膜封闭 1 小时。使用 Thermo Scientific SuperSignal West Pico 化学发光底物(货号 34580)处理印迹 5 分钟,然后对膜曝光成像。结果表明 SuperBlock 封闭缓冲液在检测靶蛋白方面优于牛奶。
漂洗缓冲液配方
与其他免疫检测步骤类似,蛋白免疫印迹实验由一系列使用不同免疫化学试剂的孵育操作和间隔的漂洗操作组成。漂洗步骤是去除未结合试剂和降低背景的必要步骤,从而可提高结果的信噪比。漂洗不充分可能导致高背景,而过度漂洗则可能会从印迹中洗脱抗体或抗原,导致检测灵敏度降低。与蛋白免疫印迹的其他步骤相同,有多种漂洗缓冲液可供选择。
Tris 缓冲液(TBS)和磷酸盐缓冲液(PBS)是最常用的漂洗缓冲液。大多数情况下,PBS 和 TBS 溶液可互换使用。但某些情况下,只能选择其一。例如,在使用碱性磷酸酶(AP)标记的二抗体系中,或当使用磷酸特异性抗体检测磷酸化蛋白质时,应使用 TBS。
漂洗缓冲液配方中有时含有去垢剂(如 0.05% 吐温 20)以帮助去除非特异性结合物质。漂洗缓冲液中的去垢剂含量因具体检测而异,吐温 20等去垢剂的浓度范围通常为 0.05% 到 0.5%。另一种常用方法是向漂洗缓冲液中添加 1:10 稀释的封闭液。通过在去垢剂中加入封闭剂,能够防止从膜上洗脱封闭蛋白质,或使得非特异性结合发生于溶液内的蛋白质而不是固定在膜上的蛋白质,从而将检测中的背景降至最低。
请务必注意,去垢剂(比如蛋白质溶液)可能会促进微生物生长。虽然制备 NP-40、CHAPS 和 吐温 20 等预稀释的去垢剂储备液很方便 ,但是在这些溶液中可能滋生真菌,从而导致高背景。此外,去垢剂可能包含大量过氧化物,使用HRP底物时会引起背景干扰。因此,请务必使用高纯度去垢剂。
一抗和二抗
蛋白免疫印迹通常会使用一抗来检测封闭过的印迹膜,这种一抗需要能够特异性地识别一种蛋白质,或一组蛋白质上的表位(例如 SH2 域或磷酸化酪氨酸)。蛋白免疫印迹中一抗的选择取决于要检测的抗原以及针对该抗原可用的抗体。还请务必注意,并非所有一抗都适合蛋白免疫印迹,如有可能,应在采购新一抗之前,对其应用进行验证。 
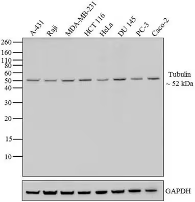
使用 α-微管蛋白抗体进行蛋白免疫印迹。使用 Invitrogen XCell Surelock 电泳系统和 iBlot 干转系统分析来自 8 种细胞系的裂解液。使用α-微管蛋白小鼠单克隆一抗(货号 236-10501)和山羊抗小鼠 HRP 二抗(货号 62-6520)检测印迹上的 α-微管蛋白。
通常,在蛋白免疫印迹中可识别靶蛋白的一抗并不可直接检测。因此,使用标记二抗作为最终检测靶抗原的方式(间接检测)。多种标记二抗可用于蛋白免疫印迹检测。二抗的选择取决于制备一抗的动物物种(宿主)或者一抗偶联的标记物(例如生物素、组氨酸(His)、血凝素(HA)等)。例如,如果一抗是未标记的小鼠单克隆抗体,则二抗必须是从非小鼠宿主获得的抗小鼠 IgG (或非 IgG)二抗。
蛋白免疫印迹抗体需要稀释后使用,制造商通常会建议将 1 mg/mL 储存液按照 1/100–1/500,000 的比例进行稀释。但是,使用特定检测系统时,指定抗体的最佳稀释比例必须通过实验确定。检测系统灵敏度越高,所需抗体越少,并且可以大幅节约抗体成本,将有限的抗体应用于更多实验中。减少抗体用量还可以降低背景,因为浓度适当的抗体对靶点具有更高的特异性和亲和力。
抗体通常使用漂洗缓冲液进行稀释。向抗体稀释液中加入去垢剂和少量封闭剂往往有助于降低背景,从而提高信噪比。相反,向抗体稀释溶液中添加太多封闭剂或去垢剂可能会妨碍抗体与抗原的高效结合,引起信号减弱及背景降低。
检测方法
虽然有很多不同的标记可以与二抗或一抗偶联,但是在蛋白质印迹检测中选用何种标记受到检测方法的限制。过去曾广泛使用放射性同位素,但是它们成本高昂,有效期短,无法改善信噪比且需要特殊处理和处置。现在普遍使用酶和荧光基团作为替代标记物。
酶标记物最常用于蛋白免疫印迹实验,尽管需要更多步骤,但是使用适当的底物优化后,其灵敏度极高。辣根过氧化物酶(HRP)和碱性磷酸酶(AP)(相对更少使用)是蛋白质检测中最常见的酶标记物。一系列显色底物、荧光底物和化学发光底物可与辣根过氧化物酶或碱性磷酸酶配合使用。碱性磷酸酶与其他酶相比优势明显:其反应速率保持线性,仅通过延长反应时间即可提高灵敏度。然而,延长反应时间往往会引起高背景信号,导致低信噪比。辣根过氧化物酶偶联抗体在酶和抗体的特异性活性方面均优于 AP 标记抗体,因HRP酶的尺寸更小且与偶联反应的兼容性好。
因为有多种底物可选,酶标抗体为蛋白免疫印迹提供了极大的检测和成像灵活性。最简单的检测/成像系统是使用显色底物。虽然不像其他底物那么灵敏,但是显色底物可实现信号显影的直接可视化。然而,随着印迹干燥或者在储存过程中,显色底物容易褪色,使得保存印迹膜成为不可靠的记录方式。然而,要复制或直接扫描印迹以记录显色蛋白质印迹结果,操作相当简单。
化学发光印迹底物与其他底物的不同之处在于,酶与底物发生反应时产生瞬时信号,该信号仅在反应进行时才会持续。如果底物被耗尽或酶丧失活性,则反应将停止,且信号将会丢失。然而,在抗体浓度适当和底物重组的优化检测体系中,反应产生的稳定光输出可持续 1 到 24 小时(具体视底物而定),从而可用 X 光胶片或数字成像系统进行成像,实现一致性好、灵敏度高的检测。虽然 X 光胶片可用于获得半定量数据,但是数字成像系统更为灵敏,线性动态检测范围更宽,并且研究人员可从蛋白印迹中获得定量数据。
使用荧光标记抗体所需步骤更少,因为检测中无需底物显影。虽然实验操作更少,但是由于需要激发光源,该方法需要特殊设备才能检测荧光信号并成像。随着数字成像系统的进展,以及红外、近红外和量子点等新一代荧光基团的研发,提高了使用荧光探针进行蛋白免疫印迹和其他免疫检测的灵敏度和普及程度。尽管设备和荧光标记抗体可能非常昂贵,但是本方法具有多通路兼容的额外优势(在统一实验中使用多个荧光基团)。另外,与其他印迹技术相比,这种方法产生的化学废物更少。
请访问赛默飞官网了解我们的蛋白免疫印迹产品。