公司新闻/正文
754 人阅读发布时间:2025-07-08 19:06
什么是免疫组织组化?
免疫组织化学 (IHC) 是一种利用抗体结合组织切片中特定抗原并使用荧光基团或有色底物可视化的技术。可视化蛋白的位置有助于我们了解细胞类型及其在组织中的功能。基一般的 IHC 染色通常需要样品制备,抗原修复,封闭,靶标检测和可视化。在此,我们总结了 IHC 的基本步骤和用于获得发表级质量图像的工具。

本页内容:
五步获取文献级免疫组化(IHC)图像的实验步骤
步骤1:制备样本
组织样品的制备方法决定了如何用抗体检测抗原。这需要合适地保存样本供短期或长期使用,切片,包括在组织染色过程之前将组织切片放置到载玻片上。冷冻或石蜡包埋是保存组织的两种常用方法。每种方法都有优点和缺点。
冷冻样品制备
将标本浸入超冷液体 (如液氮或在干冰中浸没) ,对组织样品进行卡扣冷冻。冷冻组织适合在 -80° C 下短期储存长达一年。冷冻组织切片由冷冻状态生成。
组织冷冻具有一些优势,包括:
使用冷冻样品的主要缺点是如果组织未迅速冷冻,可能形成冰晶对组织造成损伤。
石蜡包埋样品制备
石蜡包埋组织,也称为福尔马林固定石蜡包埋 (FFPE) 组织,更有利于保持组织形态和长期储存。该方法需要几个步骤来清除样本中的大部分水,然后用疏水物质如石蜡渗透。步骤包括:
石蜡包埋的一个主要缺点是组织固定可能会掩盖抗原决定簇,因此 FFPE 组织需要抗原修复来暴露抗原决定簇。另一个缺点是过度固定可能会导致高荧光背景,这可能会导致荧光染色出现问题。
样品制备数据

图 1.使用冷冻技术制备的免疫组织化学染色。对大鼠脑 (E13.5) 组织进行冷冻,切片并进行免疫组织化学染色,使用 Invitrogen SNAP25 多克隆抗体检测 SNAP25 蛋白表达 (绿色)。还用抗 β 微管蛋白 3/ TUJ1 抗体 (红色) 和 DAPI (蓝色) 染色。

图2.福尔马林固定石蜡包埋组织的免疫组织化学染色。使用福尔马林固定石蜡包埋 (FFPE) 技术制备人结肠癌组织切片。为了暴露靶蛋白,使用 10 mM 柠檬酸钠 (pH 6.0) 缓冲液在 95°C 下进行热诱导抗原决定簇修复 20 分钟 抗原回收后,将组织置于室温 3% Thermo Scientific Blocker BSA (10X) 的 PBS 中 封闭 30 分钟,然后用 1 : 100 稀释的 Invitrogen Ezrin 单克隆抗体 (3C12) 进行 1 小时孵育。使用 Thermo Scientific Triton X-100 Surfact-Amps 去污剂溶液对组织进行充分洗涤 ,并使用 Thermo Scientific 过氧化物酶抑制剂 在室温下淬灭内源性过氧化物酶活性 30 分钟。使用 Invitrogen 山羊抗小鼠 IgG (H+L) HRP二抗 在 1 : 500 稀释度下进行检测,然后使用 Thermo Scientific 金属增强型 DAB 底物试剂盒进行比色检测。于40x的显微镜上成像。
步骤2:抗原修复
固定是保存组织形态的重要过程。但是,该过程可能导致蛋白质交联,从而屏蔽抗原中的表位并限制抗原 - 抗体结合。抗原修复有助于通过破坏蛋白交联来解屏蔽抗原决表位,并显著提高抗体与目标蛋白的结合。
备注:冷冻切片或培养的细胞不需要抗原修复。所有抗体也不需要抗原修复。除非一抗来源明确表示需要,否则首先尝试标记,无需抗原修复。
有两种不同类型的抗原修复方法:热诱导抗原修复 (HIER) 和蛋白酶诱导抗原修复 (PIER)。最佳的抗原修复方法取决于多种因素,包括组织类型,持续时间和固定方法以及一抗类型。为了获得最佳结果,建议从热诱导抗原修复 开始,这是一种更温和的表位检索方法,然后再尝试蛋白酶诱导抗原修复。
热诱导抗原修复 (HIER)
对于HIER ,最常用的方法是用回收缓冲液处理组织,同时在微波炉,双锅炉或压力锅中加热。最常见的 HIER 缓冲液包括柠檬酸钠 (pH 6.0) , EDTA (pH 8.0) 和 Tris-EDTA (pH 9.0)。HIER 可能需要优化条件,取决于所用缓冲液的时间,温度和 pH 值,而不同的抗原和样品可能因样品和抗体而不同。
蛋白酶诱导的抗原决定簇修复 (PIER)
对于PIER,通过使用蛋白酶 K ,胃蛋白酶和胰蛋白酶等可以破坏交联键而恢复抗原表位。使用PIER时要小心,因为过度的酶处理可能会损坏组织和改变组织形态。PIER可能也需要经过优化,取决于时间,温度,酶类型和浓度。
抗原修复应用数据

图3.使用热诱导抗原修复进行的免疫组织化学染色。对脱蜡的人结肠癌组织的癌症活检进行 IHC。为了暴露靶蛋白,用 10 mM 柠檬酸钠 (pH 6.0) 缓冲液溶液微波加热 8 至 15 分钟。按照这一步骤,在室温下将组织封闭 3% BSA-PBS 30 分钟。然后,使用 Invitrogen 肌动蛋白单克隆抗体 (mAbGEa) 或不使用一抗 (阴性对照) 在 4°C 孵育过夜,进行 1 : 1000 稀释的组织孵育。用 Poly 80 (PBST) 磷酸盐缓冲盐水广泛洗涤组织,用过氧化物酶抑制剂淬灭内源性过氧化物酶活性。使用生物素偶联的二抗和链霉亲和素 -HRP 进行检测,然后使用 DAB 进行比色检测。

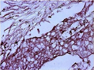
图4.使用酶抗原修复进行免疫组织化学染色。用人胎盘碱性磷酸酶 (hPLAP) 表达载体和石蜡包埋切片转导的小鼠肺的免疫组织化学分析已经过蛋白酶处理 12 分钟。然后用 1 : 100 稀释的 Invitrogen 胎盘碱性磷酸酶多克隆抗体对各切片进行染色,然后用碱性磷酸酶结合二抗和比色底物 (红色) 进行检测。
步骤3:封闭
蛋白封闭是一种使用基于蛋白的组分与能够结合抗体的技术。为了帮助介导这种情况,必须使用蛋白封闭试剂与其他非特异性蛋白结合。通过将组织样品与可应对每个背景来源的特异性封闭试剂孵育,可极大程度地减少背景染色并减少假阳性信号。内源性酶封闭,自发荧光和非特异性一抗和二抗结合是组织中背景信号的主要来源。
备注:对于细胞内靶标染色,需要使用封闭试剂处理前透化组织切片。
内源性酶封闭
内源性酶封闭类型包括:

自发荧光
自发荧光是由内源性蛋白或化学处理引起的天然荧光背景。自发荧光通常是广谱的,能够降低信噪比,从而降低灵敏度。使用化学处理或扩增技术降低背景。

非特异性结合
可使用蛋白封闭试剂介导非特异性抗体结合。这些试剂结合到原本会吸引抗体的结构上。并非所有蛋白封闭剂都同样适用于所有靶标,需要依据具体情况选择合适的。

封闭实验应用数据

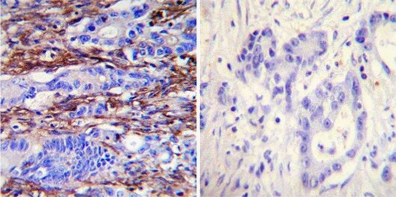
图 5.使用封闭技术进行免疫组织化学染色的比色示例。使用福尔马林固定石蜡包埋 (FFPE) 技术制备分化的人结肠腺癌组织切片。为了暴露靶蛋白,在 95°C 下使用 10 mM 柠檬酸钠缓冲液 (pH 6.0) 进行热诱导抗原决定簇修复 20 分钟 抗原修复后, 在室温下用 3% Thermo Scientific Blocker BSA (10X) 的 PBS 封闭 30 分钟,然后用 1 : 100 稀释的 Invitrogen HSP90 多克隆抗体进行孵育 1 小时 (右图)。阴性对照:染色过程中不加一抗 (左图)。用Thermo Scientific Triton X-100 surface - amps洗涤剂溶液对组织进行充分洗涤,并用Thermo Scientific peroxidase Suppressor在室温下灭活内源性过氧化物酶活性30分钟。使用 Invitrogen 山羊抗兔 IgG (H+L) 二抗 HRP 在 1 : 250 稀释的稀释度下进行检测,然后使用 Thermo Scientific 金属增强型 DAB 底物试剂盒进行比色检测。图像在40倍(x1.6 Optovar)的显微镜上拍摄。

图 6.使用封闭技术进行免疫组织化学染色的荧光示例。使用福尔马林固定石蜡包埋的人卵巢癌组织切片对 ACTA2 进行 IHC 分析。为了暴露靶蛋白,使用 eBioscience IHC 抗原修复溶液 - 在 110°C 的脱蜡室中稀释至 1X 溶液的水中稀释至 1X 溶液进行热诱导的抗原修复 15 分钟。抗原修复后,将切片在室温下用 1X PBS 中的 2% 正常山羊血清封闭 45 分钟,然后 在 4°C 孵育过夜时,在 0.1% 正常山羊血清中以 1 : 100 稀释度用 eBioscience α 平滑肌肌动蛋白单克隆抗体 (1A4) 进行检测,孵育过夜。使用 Invitrogen 山羊抗小鼠 IgG (H+L) 高交叉吸附的二抗 Alexa Fluor Plus 488 ,在室温下于 0.1% 正常山羊血清中以 1 : 2,000 稀释 45 分钟进行检测。使用Invitrogen ReadyProbes 组织自发荧光 淬灭试剂盒用于淬灭组织中的自发荧光。细胞核用 Invitrogen DAPI 染色 ,并使用 Invitrogen ProLong Glass 抗淬灭封片剂封片切片。图像是在 Invitrogen EVOS M7000 成像系统 (货号AMF7000) 20x采集。
步骤4:检测
通过直接或间接染色方法使用荧光或发色偶联抗体检测靶标。
荧光染料 ,如 Alexa Fluor 或 Alexa Fluor Plus 偶联物是最常用的免疫荧光染料之一。酪胺信号放大可用于增强低丰度和难以检测的靶标并提高灵敏度荧光检测。
辣根过氧化物 酶 (HRP) 或碱性磷酸酶 (AP) 是化学发光常用的酶偶联物。
备注:化学或荧光复染可用于补充抗体染色,检查离散的细胞。
间接染色
对于组织间接染色,可使用未偶联的一抗与荧光或酶偶联的二抗组合。
备注:为确保成功染色,请务必选择经过验证的一抗用于 IHC 应用。

图7.直接和间接检测策略的比较示意图。
间接染色方案:
直接检测
组织直接染色不需要使用二抗。使用偶联一抗直接染色。
备注:为确保成功染色,请务必选择经过验证的一抗用于 IHC 应用。
直接染色方案:
检测应用数据

图8.人 iPSC 诱导的前脑类器官中 β -3 微管蛋白 (绿色) 和 PAX6 (洋红色) 的免疫组织化学分析。在第 40 天,人体 iPSC 诱导的类器官在室温下用 4% 甲醛固定 1 小时,并在 4°C 下在 30% 蔗糖溶液中培养过夜。然后将类器官包埋在OCT包埋剂中,在以5µm处冷冻切片,用0.2% Triton X-100洗涤剂渗透20分钟,用10%驴血清在PBS中封闭30分钟。将类器官切片与 Invitrogen 抗 β -3 微管蛋白小鼠单克隆抗体 (克隆号 2G10) 1 : 500 稀释 和 Invitrogen 抗 PAX6 兔多克隆抗体在 4°C 下过夜, 然后用 1 : 1 , 000 稀释的 Invitrogen Alexa Fluor 488 驴抗小鼠 IgG ReadyProbes 二抗 (绿色) 和 Invitrogen Alexa Fluor 568 驴抗兔 IgG 二抗 (洋红色) 以及 DAPI (蓝色) 在室温下封闭溶液中染色 1 小时图像在显微镜上20x采集。Scale bar: 50 µm.经美国乔治亚州亚特兰大市埃默里大学医学院助理教授温哲星同意转载。

图9.骨骼肌组织靶标的比色检测。对使用福尔马林固定石蜡包埋 (FFPE) 技术制备的人骨骼肌组织进行免疫组织化学分析。为了暴露靶蛋白,于0 mM 柠檬酸钠缓冲液 (pH 值 6.0) 进行 10 分钟抗原热诱导修复。抗原修复后,将组织用 3% BSA-PBS 封闭 30 分钟,然后使用 (右图) 或不使用 (左图) Invitrogen Musk 多克隆抗体 (兔, 稀释: 1 : 20 过夜,°置于加湿腔室内。用Thermo Scientific Triton X-100 Surfact-Amps洗涤剂充分清洗组织,用Thermo Scientific peroxidase Suppressor淬灭内源性过氧化物酶活性,室温下30分钟。使用 Invitrogen 山羊抗兔 IgG (H+L) 二抗 HRP 进行检测 ,然后使用 Thermo Scientific 金属增强型 DAB 底物试剂盒进行比色检测。

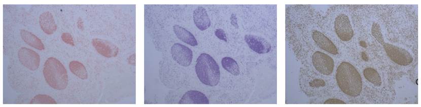
福尔马林固定石蜡包埋 (FFPE) 扁桃体组织的免疫组织化学分析。使用SuperBoost (A) EverRed & (B) EverBlue染色或(C) DAB染色分析人扁桃体组织FFPE切片。为了暴露靶蛋白,使用 10 mM 柠檬酸钠 (pH 6.0) 进行热诱导抗原修复 (HIER) ,然后在压力锅中加热 20 分钟。HIER 后,将组织在室温下 3% H2O2 孵育 10 分钟,用封闭试剂封闭,然后在 4°C 下用 Invitrogen Ki-67 单克隆抗体 (货号号 MA5-14520) ,以 PBS/3% (w/v) BSA 中按 1 : 20 稀释。样本广泛溶于含 0.05% (v/v) 吐温 -20 (PBST) 的 PBS 缓冲液中洗涤。使用 SuperBoost (A) EverRed 山羊抗兔 IgG (货号 A) 进行检测号 E40967) , (B) EverBlue 山羊抗兔 IgG (货号号 E40968) ,或 (C) DAB ,使用 SuperBoost 山羊抗兔 Poly HRP IgG (货号号 B40962)。封片前用乙醇脱水。使用EVOS M7000成像系统(货号 AMF7000) , 4 x物镜采集。
步骤5:成像
最后一步进行成像。染色组织玻片通常通过光学或荧光显微镜观察,并使用宽场或共聚焦成像模态。多种高内涵系统可实现自动采集和分析,使用低放大倍数识别组织切片。然后,可使用较高放大倍数重新扫描区域。
封片剂
在拍摄图像之前, 请务必选择合适的封片剂以保持良好的样品状态并避免可能发生的任何光漂白问题。以下是运行 IHC 时可能出现的几种情况:
成像采集的应用数据

图10.免疫组化染色样品的荧光成像分析。依据标准 IHC 方案,大鼠十二指肠冷冻切片经抗组蛋白 H3 一抗染色后,使用 Invitrogen 山羊抗小鼠 IgG (H+L) 高交叉吸附的二抗 Alexa Fluor Plus 488 (绿色)检测 。然后用 Invitrogen CellMask 深红色肌动蛋白示踪染色剂 (洋红色) 和 Hoechst 34580 ( 蓝色) 染色 1 小时然后用 Invitrogen ProLong Glass Antifade Mountant 安装组织切片。AI润色 72/5000 使用Invitrogen EVOS M7000成像系统拍摄图像。

图11.CellInsight CX7 HCA 平台采集和分析数据。对颈部弥漫性大B细胞淋巴瘤的组织微阵列进行了染色细胞核、伊红染色细胞质和人抗ki -67染色,后续使用辣根过氧化物酶(HRP)偶联二抗和二氨基胺(DAB)反应。(A) 使用蓝光,绿色光和红色光源以及 40 倍物镜和平铺板来分别采集染色组织微阵列芯样品。(B) 图像采用颜色编码,以表示使用彩色相机采集的典型图像。(C) 对图像进行单独分析:检测,分析并与阵列中的其他组对比检测结果 (蓝色轮廓) 和 Ki-67 染色 (红色点)。
获取高质量免疫组化(IHC)图像的五个实验步骤和建议
1. 免疫组化(IHC)样品制备
组织样品的制备方法决定了如何用抗体检测抗原。选择满足预期实验结果需要的组织类型相兼容的固定方法是很重要的。如果您需要好的抗原修复结果并且不必保持细胞形态,则使用冰冻组织或丙酮固定。当需要保持细胞形态时,福尔马林固定石蜡包埋(FFPE)组织样品是一个好的选择。
对于细胞固定,可选择:Image-iT固定/通透化处理试剂盒
2. 免疫组化(IHC)抗原修复
抗原修复是免疫组化(IHC)在进行抗体标记前的必要步骤,因为组织的固定过程通常会引起蛋白交联。这在使用福尔马林固定时因其化学属性而经常发生,但可以通过加热(最常用的方法)、简易缓冲液处理或蛋白酶消化而轻松实现逆转。处理的方式可根据抗体检测所需的表位构型而进行选择。该步骤可使得抗原表位被重新暴露以便于抗体的结合。
热修复,可选用如下缓冲液:
eBioscience IHC抗原修复溶液 - 高pH(10X)
eBioscience IHC抗原修复溶液 - 低pH(10X)
3. 免疫组化(IHC)背景封闭
组织中内源性酶和抗体的封闭对于背景染色的最小化以及降低假阳性染色十分重要。这通常是通过用可封闭一抗或二抗也可能结合的非特异性位点的特定缓冲液对样品进行孵育而实现的。
封闭非特异性染色,可选用:
eBioscience IHC /ICC封闭液 - 低蛋白
eBioscience IHC /ICC封闭液 - 高蛋白
亲和素/生物素封闭试剂盒
CAS-封闭组化试剂
Blocker FL荧光封闭液
4. 免疫组化(IHC)检测目标
在选择一抗时,确保其已通过验证可用于免疫组化(IHC)应用。Invitrogen抗体产品含有约60,000种经免疫组化(IHC)优化和测试的高质量抗体。一抗有非偶联的(用于间接法)以及偶联的形式用于直接检测或多重检测的方法。二抗也有一系列的偶联形式用于基于比色/发光或染色的免疫组化(IHC)。
每一种抗体都提供即用型的形式:
除了抗原检测外,免疫组化(IHC)制备的组织切片也可用于细胞过程的分析。Click系列试剂,可通过结合EdU标记并通过传统的比色法染色,实现对于固定组织中细胞增殖的直接检测。此外,Click系列试剂与TUNEL标记的结合可用于发生在凋亡过程中片段化DNA的比色法检测。
增殖或凋亡的建议比色法检测,可选用:
Click-iT EdU比色法IHC检测试剂盒
Click-iT TUNEL比色法IHC检测试剂盒
5. 免疫组化(IHC)观察样本
Thermo Fisher Scientific可提供几款最为先进的显微镜,用于通过比色或荧光标记抗体组织染色的免疫组化(IHC)图像获取。
EVOS系列智能细胞成像分析系统:
#免疫组织化学# #免疫组化# #IHC# #细胞成像#
赛默飞世尔科技(中国)有限公司